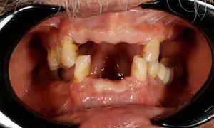
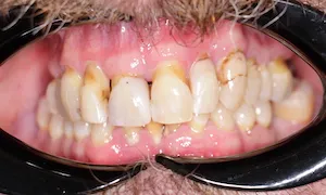
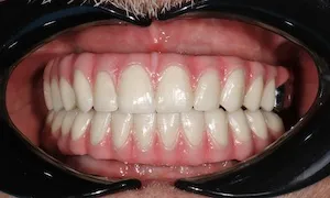
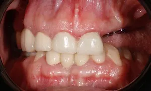
Have broken teeth, missing teeth, or need to replace your dentures? Now’s the time to get the teeth you’ve always dreamed of in a day with full-mouth dental implants from Central New Jersey’s dental experts.

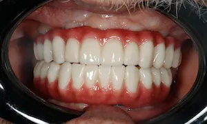
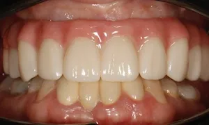
Our dental implants provide a secure foundation, allowing you to eat, speak, and smile with confidence, just like with natural teeth.
Your new implants look and feel like natural teeth, restoring your smile and facial appearance. They are custom-designed to blend seamlessly with your remaining teeth, improving your overall look.
Implants follow your jawbone, which helps keep the natural shape of your face and jaw, preventing the sunken-in appearance.
Your new teeth are durable and permanent. Unlike other tooth replacement options, such as dentures or bridges, implants don’t require replacement or adjustments over time, giving you long-term value and convenience.

.webp)




Smiles Family Dentistry provides you with a pain-free dental implant experience in a comfortable setting, using the latest technology, and at three convenient locations across Central New Jersey. In addition to dental implants, our team of experts offers comprehensive family dentistry and is ready to restore your smile so you can regain your confidence.
book a consultation